A fundamental desideratum of AI is the ability to model environment dynamics and transitions in response to both their own actions and external control signals. This capability, commonly referred to as world modeling (WM), is essential for prediction, planning, and generalization. Learning world models using deep learning has been an active area of research for nearly a decade. In recent years, the field has witnessed significant breakthroughs driven by advances in deep neural architectures and scalable learning paradigms. Multiple subfields, including self-supervised learning (SSL), generative modeling, reinforcement learning (RL), robotics, and large language models (LLMs), have tackled aspects of world modeling, often with different tools and methodologies. While these communities address overlapping challenges, they frequently operate in isolation. As a result, insights and progress in one area may go unnoticed in another, limiting opportunities for synthesis and collaboration. This workshop aims to bridge this gap between subfields of world modeling by fostering open dialogue, critical discussion, and cross-disciplinary exchange. By bringing together researchers from diverse backgrounds, from early-career researchers to established experts, we hope to establish a shared vocabulary, identify common challenges, and surface synergies that can move the field of world modeling forward.
Get the latest international news and world events from around the world.
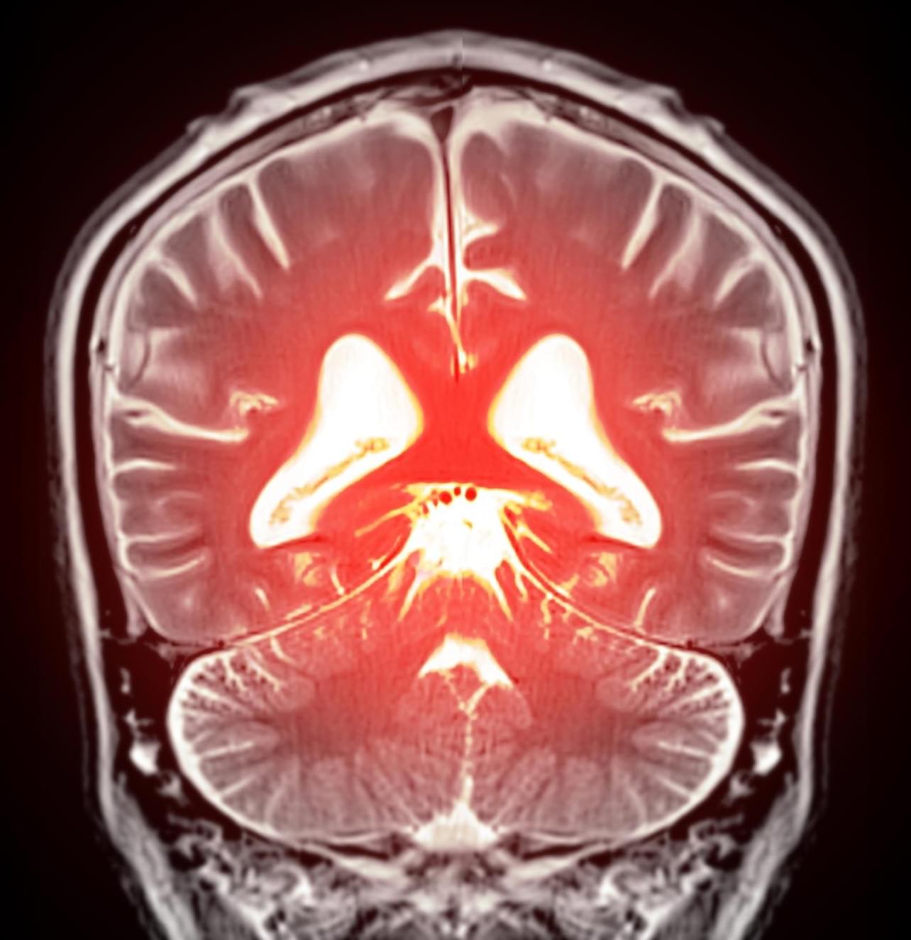
Meditation Can Reshape Your Brain Activity, Study Reveals
Meditation may calm the mind, but a recent study suggests it can also reshape brain activity by profoundly altering brain dynamics and increasing neural connections – somewhat similar to psychedelic substances.
As a result, meditation may help practitioners achieve a hypothesized state known as “brain criticality”, in which neural connections are neither too weak nor too strong, but at an optimal level for mental agility and function.
In the study, led by neurophysiologist Annalisa Pascarella of the Italian National Research Council, researchers used high-resolution brain scans and machine learning to examine how meditation can alter brain activity to achieve an equilibrium between neural chaos and order.
Satellite servicing startup Starfish taps Quindar for mission operations software
WASHINGTON — Quindar, a startup that provides mission management software for satellite operators, has been selected by satellite servicing company Starfish Space to support the first three missions of its Otter spacecraft.
Under an agreement announced Feb. 5, Quindar will provide software to manage and automate operations for Starfish’s initial Otter missions, which are expected to begin launching this year. Financial terms were not disclosed.
Based in Denver, Quindar offers a cloud-hosted platform that allows satellite operators to track spacecraft, send commands and automate routine ground operations. The company positions its software as an alternative to traditional, custom-built mission control systems that operators typically develop in-house and maintain over the life of a program.
Mapping tool delivers quantitative visualisations of steric interactions
Another system the team Self on was a set of Ni–phosphine complexes, where steric interactions often limit the accessibility of the phosphine ligand’s lone pair. The researchers found that their results correlated well with the traditional method to study this – Tolman’s angles – but also showed that the interaction between the nickel centre and the ligand is smaller than Tolman analysis suggests.
These insights could prove useful for chemists. As Paton notes, ‘you could imagine comparing many different ligands in a library with this tool and using it to, for example, characterise or understand performance, maybe even ligand design… ultimately, that will allow us to think about how we might design better and more efficient systems and reactions.’
Hénon highlights that Self also works inside molecules, not just between them. ‘Previous methods were designed for two separate molecules approaching each other. But what about rotation barriers within a single molecule. That’s intramolecular steric repulsion, and Self handles it naturally. Other methods struggle badly with this. This opens new perspectives.’
Deep Space Habitats — Designing Self Sustaining Biomes for Interstellar Journeys
How and why would humans live far from stars? Exploring deep-space habitats, artificial suns, and megastructures.
Join FlexiSpot’s Valentine’s Specials with up to 65% off! Shop now and use my code \.
Why comparisons between AI and human intelligence miss the point
AI systems, by contrast, do not cooperate, negotiate meaning, form social bonds or engage in shared moral reasoning. They process information in isolation, responding to prompts without awareness, intention or accountability.
Embodiment and social understanding matter
Human intelligence is also embodied. Our thinking is shaped by physical experience, emotion and social interaction. Developmental psychology shows that learning begins in infancy through touch, movement, imitation and shared attention with others. These embodied experiences ground abstract reasoning later in life.
Episode 2 — The Prospect of Immortality & Human Cryopreservation
Host: Kyle O’Brien — https://twitter.com/analog_kyle.
Guest: Emil Kendziorra — https://twitter.com/emilkendziorra.
Founder of @TomorrowBio.
Theme || the prospect of immortality & human cryopreservation.
Is Death just a Technical Problem we haven’t solved yet?
In this episode of State Change, Kyle O’Brien sits down with Emil Kendziorra, founder of Tomorrow Bio, to explore the science, ethics, and future of cryopreservation — the process that may one day allow humans (and even pets) to be revived centuries from now.
We talk about the brain, identity, consciousness, why people fear death, and what it means to rewrite the social contract when life extension becomes real.
The Universe Tried to Hide the Gravity Particle. Physicists Found a Loophole
Head to https://brilliant.org/Spacetime/ to start learning for free for 30 days. Plus, our viewers get 20% off an annual Premium subscription for unlimited daily access to everything Brilliant has to offer.
Physicists have long believed that detecting the particle of gravity—the graviton—was fundamentally impossible, with the universe itself seeming to block every direct attempt. This episode explores a new generation of clever experiments that may finally let us detect gravity’s particle, and why even succeeding wouldn’t quite mean what we think it does.
Sign Up on Patreon to get access to the Space Time Discord!
/ pbsspacetime.
Check out the Space Time Merch Store.
https://www.pbsspacetime.com/shop.
Sign up for the mailing list to get episode notifications and hear special announcements!
https://mailchi.mp/1a6eb8f2717d/space… the Entire Space Time Library Here: https://search.pbsspacetime.com/ Hosted by Matt O’Dowd Written by Richard Dyer & Matt O’Dowd Post Production by Leonardo Scholzer Directed by Andrew Kornhaber Associate Producer: Bahar Gholipour Executive Producer: Andrew Kornhaber Executive in Charge for PBS: Maribel Lopez Director of Programming for PBS: Gabrielle Ewing Assistant Director of Programming for PBS: Mike Martin Spacetime is a production of Kornhaber Brown for PBS Digital Studios. This program is produced by Kornhaber Brown, which is solely responsible for its content. © 2026 PBS. All rights reserved. End Credits Music by J.R.S. Schattenberg: / multidroideka Space Time Was Made Possible In Part By: Big Bang Alexander Tamas David Paryente Juan Benet Mark Rosenthal Morgan Hough Peter Barrett Santiago Tj Steyn Vinnie Falco Supernova Ethan Cohen Glenn Sugden Grace Biaelcki Mark Heising Stephen Wilcox Tristan Lucian Claudius Aurelius Tyacke Hypernova Alex Kern Ben Delo Cal Stephens chuck zegar David Giltinan Dean Galvin Donal Botkin Gregory Forfa Jesse Cid Dyer John R. Slavik Justin Lloyd Kenneth See Massimiliano Pala Michael Tidwell Mike Purvis Paul Stehr-Green Scott Gorlick Scott Gray Spencer Jones Stephen Saslow Thomas Mouton Zachary Haberman Антон Кочков Daniel Muzquiz Gamma Ray Burst Aaron Pinto Adrien Molyneux Almog Cohen Anthony Leon Arko Provo Mukherjee Ayden Miller Ben McIntosh Bradley Jenkins Bradley Ulis Brandon Lattin Brian Cook Bryan White Chris Liao Christopher Wade Chuck Lukaszewski Collin Dutrow Craig Falls Craig Stonaha Dan Warren Daniel Donahue Daniel Jennings Daron Woods Darrell Stewart David Johnston Doyle Vann Eric Kiebler Eric Raschke Eric Schrenker Faraz Khan Frederic Simon Harsh Khandhadia Ian Williams Isaac Suttell James Trimmier Jeb Campbell Jeremy Soller Jerry Thomas jim bartosh John Anderson John De Witt John Funai John H. Austin, Jr. John591 Joseph Salomone Junaid Ali Kacper Cieśla Kane Holbrook Keith Pasko Kent Durham Koen Wilde Kyle Atkinson Marcelo Garcia Marion Lang Mark Daniel Cohen Mark Delagasse Matt Kaprocki Matthew Johnson Michael Barton Michael Clark Michael Lev Michael Purcell Nathaniel Bennett Nick Hoffenstoffer III Nicolas Katsantonis Paul Wood Rad Antonov Reuben Brewer Richard Steenbergen Robert DeChellis Ross Story Russell Moore SamSword Sandhya Devi Satwik Pani Sean Owen Shane Calimlim SilentGnome Sound Reason Steffen Bendel Steven Giallourakis Terje Vold Thomas Dougherty Tomaz Lovsin Tybie Fitzhugh Vlad Shipulin William Flinn WILLIAM HAY III Zac Sweers.
Search the Entire Space Time Library Here: https://search.pbsspacetime.com/